
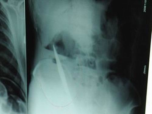
X光片上,尖刀清晰可見。

從男子體內取出的尖刀足足有19厘米長。
江蘇銅山一58歲男子因服毒被送到醫院搶救,可醫生采取搶救措施后卻發現效果不佳。后來經細致檢查,醫生有了個驚人的發現,該男子的體內竟然有一把尖刀,醫生通過手術將位于其腹部右側橫結腸下緣的尖刀取了出來。這把尖刀足足有19厘米長!據醫生推測,這把刀應該是從肛門推進體內的,不知男子為何想以如此殘酷的方式結束自己生命。由于搶救及時,該男子已暫時脫離危險。
昨天(11月6日)上午,記者在徐州礦務集團總醫院重癥監護室見到了這名男子,目前他雖然已經恢復了意識,但還不能開口說話,需要呼吸機輔助呼吸。據醫生介紹,4日中午12時左右,這名男子因服毒輕生被緊急送到醫院進行搶救,之前,這名男子已經在當地鄉鎮醫院進行了近20小時的治療,但效果不佳。“病人被轉院到礦總院時已神志不清,血壓極低,處于休克狀態。”救護人員給男子洗胃、初步處理以后,發現男子呼吸急促,于是趕緊給他拍片檢查。結果讓所有的醫生大吃一驚,竟有一把尖狀異物橫在該男子腹腔內!當天下午5時30分,輕生男子被推上了手術臺。經過40多分鐘的手術,該男子腹腔被打開,手術醫生發現,男子體內的金屬狀異物竟然是一把長19厘米的尖刀!
醫生告訴記者,手術后,醫生在病人身上并未發現刀痕,最后,經過檢查發現,在該男子直腸處找到穿孔。醫生從醫學角度分析后認為,這把尖刀應該是從肛門插入直腸的。
醫生告訴記者,因為病人搶救及時,尖刀并未傷及要害,所以暫時保住了性命,但后期可能會出現腹腔感染、AIDS、器官衰竭等多種并發癥。
該男子的侄子告訴記者,輕生者姓劉,妻子已經出走十多年了,有個80多歲的老母和一個正在上初二的兒子。平時劉某生活十分貧困,妻兒又不在身邊,而且長期患有膽囊炎,可能是覺得生活無望,一時想不開而輕生的。據了解,目前該男子的手術費用已高達數萬元,目前全靠其侄子幫他四處借錢籌款。 (東巍 泰松 小川)
內地一線女星床戲盤點 |
韓國女星上位的潛規則 |
鞏俐"裸替"秀性感身材 |
敢當面罵毛澤東的女人 |
![]() 少女交友不慎 色誘敲詐10萬元 |
![]() 因家人反對男子街頭劫持女友 |
![]() 學生軍訓猝死 學校判賠9萬 |