

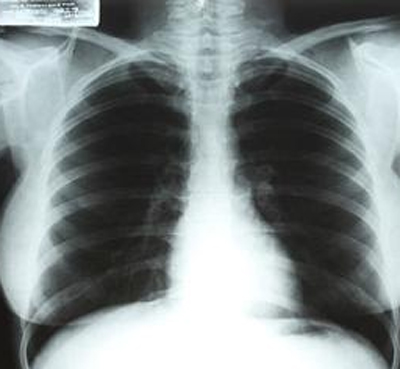
中新網4月14日電 據臺灣“今日新聞”消息,好萊塢性感女星瑪麗蓮.夢露生前的一張X光片即將舉行拍賣。
報道稱,這張X光片是1954年時,夢露在洛杉磯Cedars of Lebanon醫院里拍下的。據悉,此張X光片可望以38萬4000美元左右的售價拍賣出去。
此次拍賣會定于6月26至27日在拉斯韋加斯的好萊塢星球賭場舉行。同時拍賣的,還有夢露的一瓶尚未開封的香奈兒5號香水;一本拍電影時的筆記本,以及一件粉紅色絲質襯衫等。
Copyright ©1999-2026 chinanews.com. All Rights Reserved